Research
Innovation in the management of intracranial aneurysms
The development and evolution of endovascular technologies have revolutionized the management of aneurysms, influencing clinical guidelines and practices worldwide. Our results have helped refine the endovascular treatment of various types of intracranial aneurysms.

Plasticity of Circle of Willis
The plasticity of the Circle of Willis is an under-reported and fascinating aspect of vascular anatomy in cerebrovascular disorders. Our research group has focused on understanding the hemodynamic and biological substrate driving changes after treatment of intracranial aneurysms, specifically with flow diversion.
Flow Diversion
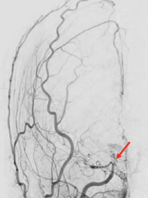
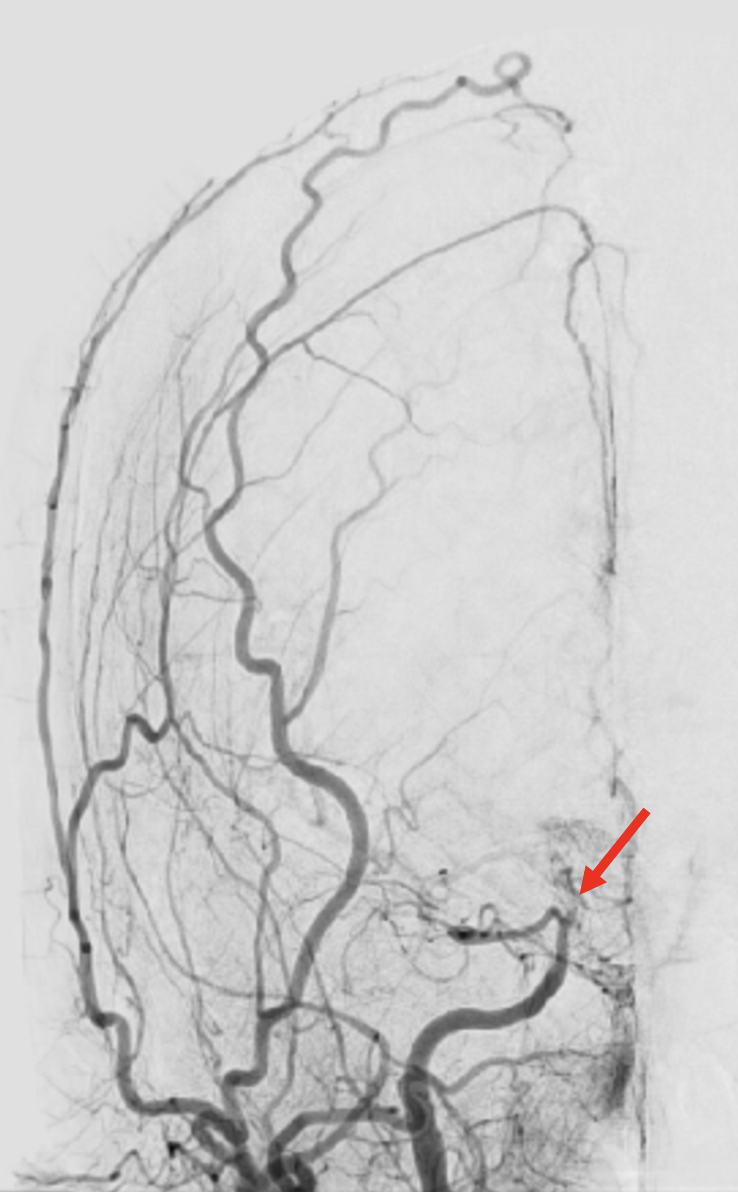
The FDA approval of flow diversion technology in 2011 revolutionized the treatment of intracranial aneurysms. The use of this technology has rapidly evolved, extending beyond paraclinoid aneurysms to include the treatment of distal and complex aneurysms, even those located in the posterior circulation. Our research focuses on establishing the safety and efficacy of flow diversion for both FDA-approved and off-label use, factors determining treatment failure, complications, adjustments to dual antiplatelet therapies, and ideal imaging follow-up intervals. We have also explored biological mechanisms predicting response after treatment and collaborated with multiple institutions nationwide in various registries and clinical protocols.

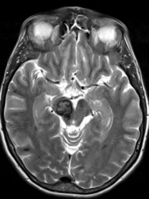
Treating small intracranial aneurysms
Our research group has extensively evaluated the decision-making in managing patients with small, unruptured intracranial aneurysms. We have developed easy-to-use scoring systems for risk stratification, taking as a reference to well-described factors contributing to aneurysm rupture. Our team has conducted multiple reviews and analyses using data available in the literature to substantiate our claims.
Coiling with assisted technologies
Coiling has evolved to incorporate numerous technologies aimed at enhancing the durability of treatment and preventing recurrence over time. Some of these advancements include the use of stenting or balloons to secure the coils within the aneurysm, as well as the utilization of temporary stents. Our research in this area has focused on evaluating factors predicting recurrence after treatment, comparing various technologies and outcomes in the short and long term. Additionally, we have validated scoring systems predicting recanalization at a multi-institutional level.
Management of arteriovenous malformations
Our research group has engaged in collaborative efforts within the multi-institutional MISTA registry. Our objective has been to assess the efficacy of stereotactic radiosurgery (SRS), the impact of antiplatelet regimens, the associated risk of hemorrhage, and a comprehensive comparison of various embolization techniques.
Moyamoya disease
Although uncommon, Moyamoya disease has been a focal point of research for the Brain Aneurysm Institute, driven by the inspiration drawn from numerous patients. We have conducted reviews analyzing the efficacy of revascularization, identifying risk factors for bypass failure, and scrutinizing the decision-making processes for both indirect and direct bypass procedures. Our interest extends to understanding the molecular mechanisms underlying the pathogenesis of Moyamoya disease, involving studies on genomes and blood markers to elucidate the disease cause, enhance existing treatments, and develop novel therapies.
Our research efforts are closely intertwined with the Adult Moyamoya Center at BIDMC, a comprehensive service that brings together nationally renowned experts in stroke and vascular neurology, neurosurgery, and radiology, providing state-of-the-art evaluation and treatment for adults with known or suspected Moyamoya disease. Ours is one of the most experienced groups in the nation in treating this disease in adults.
Cavernous Malformations
Our research focus in cavernous malformation has aimed at identifying imaging characteristics, follow-up strategies, and decision analysis for surgical candidates based on the location of the lesion and history of bleeding. Additionally, our team has collaborated in the development of multiple national and international clinical guidelines.
Stroke
Our research group has actively contributed collaborative efforts within the multi-institutional SATR registry. Our team has collected information on reperfusion time, endovascular access, factors influencing successful recanalization, outcomes based on location, and the disability experienced by patients during follow-up.
Artificial Intelligence
The utilization of artificial intelligence promises to enhance the accuracy and speed of aneurysm detection, potentially transforming the landscape of neurovascular diagnostics. Our research group, composed of neurosurgeons, computer scientists, and radiologists, boasts a unique convergence of knowledge and skill that is essential for tackling such a multifaceted endeavor. With our research we aim to develop tools that will help the accuracy in the diagnosis, early intervention which will ultimately improve outcomes of patients.
Other interests:
- Use of high-resolution 7-Tesla Magnetic Resonance Imaging to characterize the wall enhancement of intracranial aneurysms and the risk of rupture.
- Computational Flow Dynamics Analysis for residual and recurrent Intracranial Aneurysms.
- Endovascular shunting in the management of normal pressure hydrocephalus.
- Endovascular stenting for idiopathic intracranial hypertension.