Mitochondria from high pressure frozen brown adipose tissue
Our Mission:
The EM Core at BIDMC provides service, technical assistance, and instrumentation for electron microscopy techniques.
Our Services:
Tissue Processing for Transmission Electron Microscopy, Sectioning for Transmission Electron Microscopy, Ultrastructural Analysis and Image Processing.
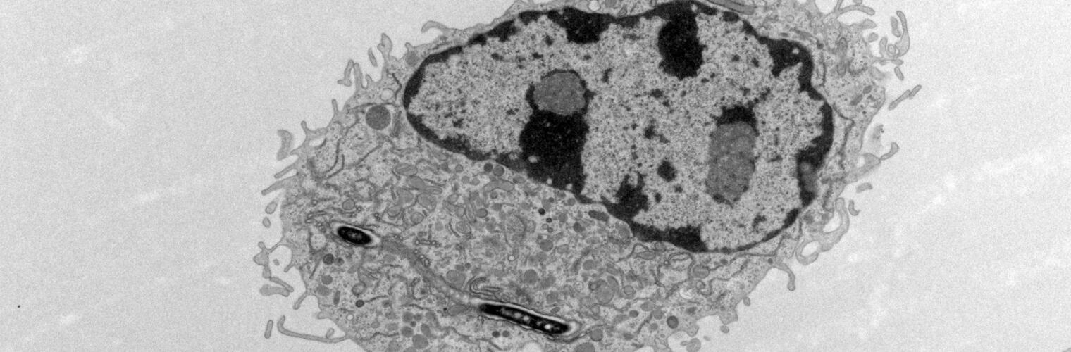
Macrophage infected with Legionella bacteria
We Provide:
Consultation, Tissue Preparation, Tissue Processing, Thick/Thin Sectioning, Contrast Staining, Service or Independent Use of the Electron Microscope, Image Analysis.

Routine EM Services

  • Consultation
  • Tissue Preparation
  • Tissue Processing
  • Thick/Thin Sectioning
  • Contrast Staining
  • Service or Independent use of the electron microscope.
  • Image Analysis

Read more >>

Getting Started


Because EM projects can be extensive and expensive, the EM Core Facility invites all researchers to meet with core staff before a project is started to discuss the scope of the project, how to procure and fix tissues, timeline, budgetary concerns, and any other general issues which might arise.

Read more >>

Techology & Equipment

  • JEOL 1400
    • Installed January 2010 and is state-of-the-art.
    • 120kV
    • High contrast
    • Gatan Orius 11 MegaPixel CCD Cameras for photodocumentation
    • SerialEM, IMOD, and Chimera EM Tomography software.

Read more >>