Skip to main content
Toggle navigation
Toggle Secondary navigation
Toggle Search
Diagnostic Hematopathology Service
Hematopathology Fellowship Training Program
Department of Pathology & Laboratory Medicine, Beth Israel Deaconess Medical Center
330 Brookline Ave, Boston, MA 02215
Search
Search
Primary menu
HOME
Fellows
Residents
CPGs
LECTURES
German Pihan, M.D.
Dr. Pihan's Lectures Seminars Tutorial
Sarmad Jassim, MD
Dr. Jassim's Lectures Seminars Tutorials
Dr. Phillip Michaels
Dr. Michaels' Lecture Seminars Tutorials
Dr. Robert Willim
Dr. Willim's Lectures Seminars Tutorials
TUTORIALS
Peripheral Blood Smear TUTORIAL
Hodgkin Lymphoma TUTORIAL
SSC-HP
Disease Primers
Dx Algorithms
TestYourMicDxSkills
Mystery Images
CPC@BIDMC
Professional Societies
Society for Hematopathology
ASH
ASCO
AMP
AARC
IHC
CountwayLibrary of Medicine
Countway Library of Medicine
BrowZine
eLearning
eLearning1
eLearning2
ASH ImageBank
Society for Hematopathology
GENOM
Emory Hematopathology
GENOM (ASH_LLS_FF)
ICCS
USCAP
ISLH
ImmunoQuery
PathologyOutlines
eMedicine
WebPathology
ExpertConsult
PathologyOutlines
Hemepath Jeopardy
CellSignaling
Harvard Gazette
le-messager-boiteaux
Home
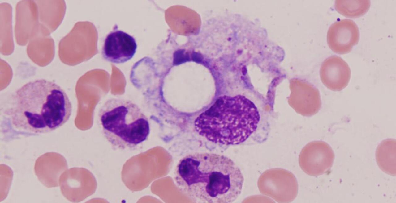
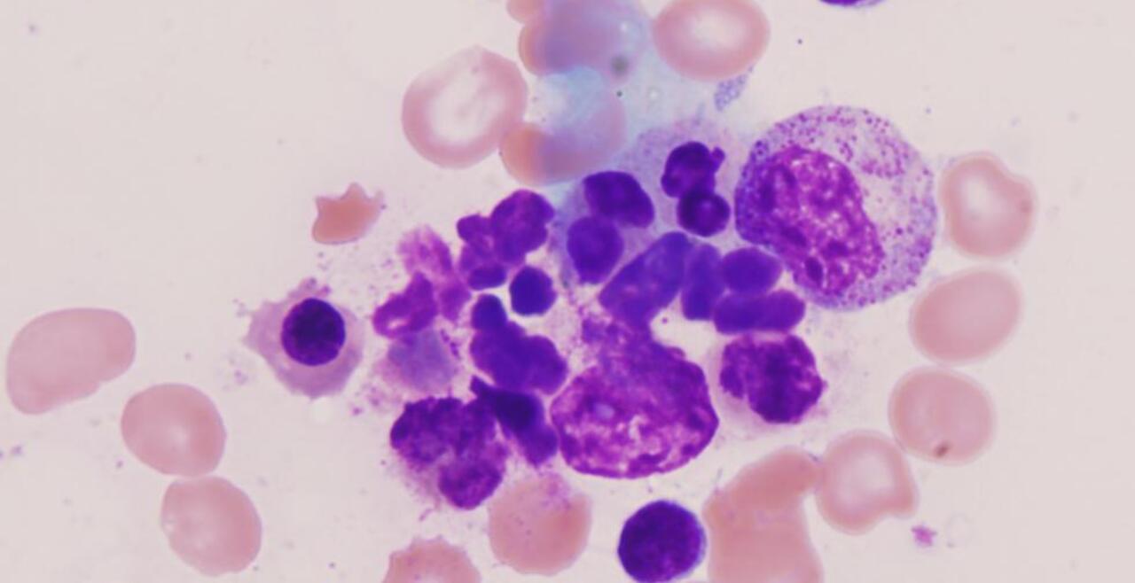
Mystery Images
Mystery Images
Diagnosis
Identify the cell in the center of the image