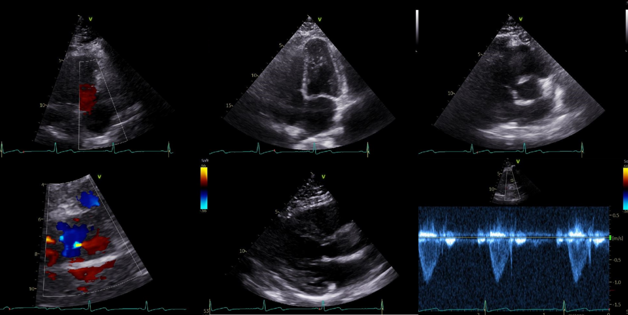
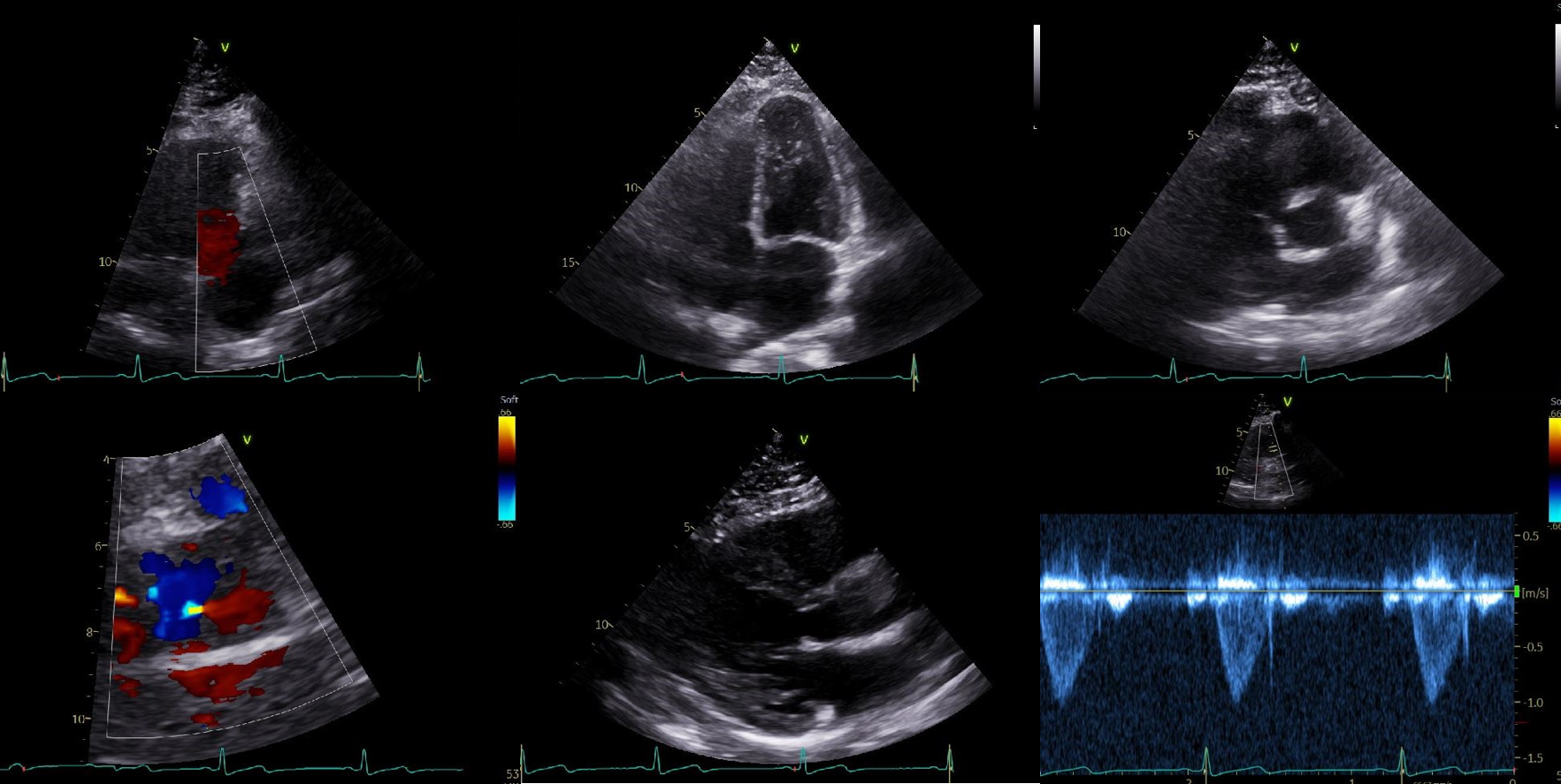
Series of cardiac echos

 

 

Cardiovascular Imaging Research Group

Our research harnesses the power of cardiac imaging to address pressing questions about cardiovascular diseases and outcomes in the U.S., and to develop novel diagnostic tools to improve cardiovascular care worldwide.

About

 

Research Areas

 

Prediction Algorithms to Optimize Care

 

AI software on an echo machine

We test and develop AI models that enhance cardiac imaging techniques to predict patient outcomes and improve patient diagnosis and downstream costs of care. 

 

Explore Research Areas

Impact of Policies and Patterns of Care on Health Outcomes

Stock image of patient and Doctor

We analyze claims and various data sources to discern patterns in patient care delivery, focusing on the impact of policy and the consequent effects on patient health outcomes.

Validating Novel Data Sources for Real-World Evidence Generation

Stock image of a stethoscope

We use real-world data from healthcare operations, including administrative claims and echocardiographic reports, to validly determine outcomes and diagnoses of interest. We evaluate whether claims data can validly substitute for event adjudication in pragmatic trials.

 

Cardiovascular Imaging Research

at the Smith Center for Outcomes Research

Led by Dr. Jordan Strom, our team is comprised of faculty members, research fellows, research students, biostatisticians, and staff. We work closely with the Echocardiography Laboratory at BIDMC and collaborate with other academic institutions and global industry partners to harness the power of cardiac imaging to improve health outcomes worldwide.

We are part of the Richard A. & Susan F. Smith Center for Outcomes Research at Beth Israel Deaconess Medical Center.

Learn More About the Smith Center

Meet Our Team