IN-Depth DLBCL image 1
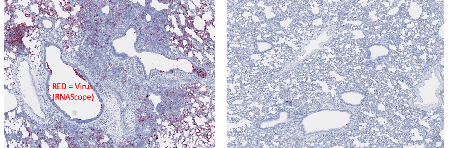
Hamster lung w-wo COVID vaccine
IN-Depth image 1
TTU banner

Flow Cytometry Unit

  • Multiparameter Flow cytometry
  • Sterile cell sorting
  • Flow cytometry panel planning and data analysis

Read more >>

Tissue Technologies Unit

  • Research Histology
  • Multiplex IF and ISH
  • Highplex Multi-omics spatial assays

Read more >>

Services & Equipment

Please Cite Us As

BIDMC – Tissue Technologies Unit RRID:SCR_027102

Read more >>

Tissue Technologies Unit Intake Form

Contact Us