tsimanespine
Bone assessment
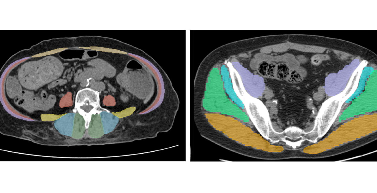
Muscle Assessment
Muscle assessment
pcctvsct
Exploring photon-counting CT
Spaceflight Strength Image
Bone changes in spaceflight

Bouxsein-Johannesdottir Lab

Our research seeks to reduce the global burden of fractures and improve skeletal health across the lifespan. We investigate the biological, biomechanical, and behavioral determinants of bone strength, with a focus on translating discoveries into strategies that prevent fractures and preserve mobility.

                   Leadership

      Mary L. Bouxsein, PhD         Fjola Johannesdottir, PhD

         

                                            Meet Our Team

Advancing skeletal health to prevent fractures—on Earth and beyond


Our mission is to reduce the global burden of fractures due to osteoporosis by advancing understanding of skeletal fragility, developing innovative tools to assess bone quality and strength, and translating discoveries into effective prevention and treatment strategies that improve patient outcomes and quality of life. 

We are always seeking talented, passionate individuals interested in our research areas. If you have interest in joining our team, please contact Dr. Bouxsein or Dr. Johannesdottir.

t1d

Research

Center for Advanced Orthopedic Studies

Our current research projects include: advancing a new regulatory pathway for conduct of osteoporosis clinical trials, testing advanced imaging techniques for assessing skeletal fragility, examining the effects of musculoskeletal health in disuse and spaceflight, understanding stress fracture mechanisms in military recruits, and investigating musculoskeletal health in indigenous populations. 

Learn about our research